top of page
Monitoreo Ovulatorio
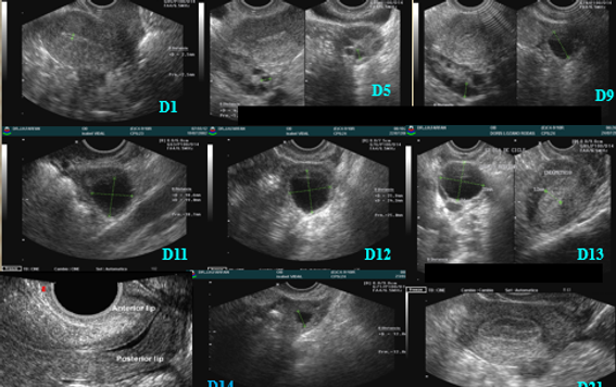
El monitoreo ovulatorio por ecografía permite realizar seguimiento a los cambios del folículo durante el ciclo menstrual, este seguimiento es importante para saber cuando ovula la mujer o diagnosticar las causas de infertilidad, por anomalías en el ciclo menstrual como la ausencia de la ovulación, ausencia de cambios en el endometrio, este examen es realizado por un médico ginecólogo especializado en diagnostico por imágenes, no invasivo y seguro para la mujer.
Este examen consiste en realizar de 4 a 5 ecografías durante el ciclo menstrual de la mujer.

bottom of page
